
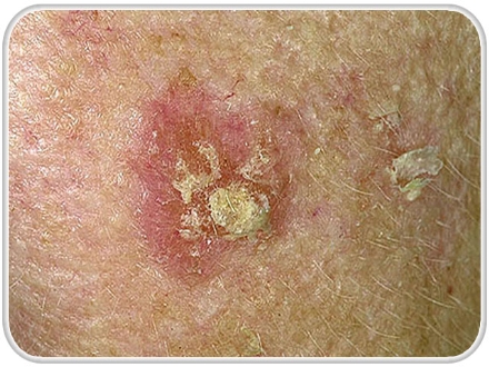
به تازگی داروی جدیدی به نام ویسموجیب (Vismodegib) برای درمان سرطان سلولهای پایة پوست (BCC) مورد تأیید وزارت دارو و غذای آمریکا قرار گرفته است.
سرطان سلولهای پایة پوست (BCC) شایعترین علت سرطان پوست است که چنانچه محدود باشد درمان جراحی انجام میشود ولی در بیماران با نوع پیشرفته و گسترش یافته سرطان تا به امروز درمان مؤثری مورد تأیید قرار نگرفته بود.
در آخرین بررسی انجام شده که نتیجة آن در مجلة نیوانگلند چاپ شده است و منجر به تأیید داروی ویسموجیب (Vismodegib) توسط ادارة دارو و غذای آمریکا FDA شده است مشخص شد که این دارو که به صورت قرص مصرف میشود در بیماران مبتلا به نوع ارثی این سرطان سبب پیشگیری از سرطان پوست و کوچک شدن تومور میشود.
این دارو در صورت مصرف طولانی عوارضی مانند گرفتگی عضلانی، ریزش مو و از دست دادن طعم چشایی خواهد داشت که منجر به قطع مصرف دارو خواهد شد که چنانچه دوز مصرفی دارو محدود شود عوارض فوق نیز به حداقل خواهند رسید.
محققین اعلام کردند تأیید داروی فوق امیدواری زیادی را برای بیماران مبتلا به نوع ارثی سرطان پوست بهوجود آورده است.
منبع: مرکز تحقیقات سرطان آمریکا(NCI)
تاریخ: 30/03/91
کلیدواژه ها:
جدول شناسه
|